De Melo, G. D. et al. Attenuation of clinical and immunological outcomes during SARS-CoV‐2 infection by Ivermectin. EMBO Mol. Med. 13, e14122 (2021).

Article 
PubMed 
PubMed Central 

Google Scholar
 

Arévalo, A. et al. Ivermectin reduces in vivo coronavirus infection in a mouse experimental model. Sci. Rep. 11, 7132 (2021).

Article 
ADS 
PubMed 
PubMed Central 

Google Scholar
 

Piras, C., Gugliandolo, E., Castagna, F., Palma, E. & Britti, D. Ivermectin (IVM) possible side activities and implications in antimicrobial resistance and animal welfare: the authors’ perspective. Veterinary Sci. 9, 24 (2022).


Google Scholar
 

Tang, M. et al. Ivermectin, a potential anticancer drug derived from an antiparasitic drug. Pharmacol. Res. 163, 105207 (2021).

Article 
CAS 
PubMed 

Google Scholar
 

Crump, A. Ivermectin: enigmatic multifaceted ‘wonder’drug continues to surprise and exceed expectations. J. Antibiot. 70, 495–505 (2017).

Article 
CAS 

Google Scholar
 

Buonfrate, D. et al. High-dose Ivermectin for early treatment of COVID-19 (COVER study): a randomised, double-blind, multicentre, phase II, dose-finding, proof-of-concept clinical trial. Int. J. Antimicrob. Agents. 59, 106516 (2022).

Article 
CAS 
PubMed 
PubMed Central 

Google Scholar
 

Buonfrate, D. et al. Current pharmacotherapeutic strategies for strongyloidiasis and the complications in its treatment. Expert Opin. Pharmacother. 23, 1617–1628 (2022).

Article 
CAS 
PubMed 

Google Scholar
 

Silva, H. et al. Clinical safety of Ivermectin treatment in nile tilapia, Oreochromis niloticus. Ars Vet. 39, 88–98 (2023).

Article 
CAS 

Google Scholar
 

Chaccour, C. et al. Nebulized Ivermectin for COVID-19 and other respiratory diseases, a proof of concept, dose-ranging study in rats. Sci. Rep. 10, 17073 (2020).

Article 
ADS 
CAS 
PubMed 
PubMed Central 

Google Scholar
 

Ahmed, S. et al. A five-day course of Ivermectin for the treatment of COVID-19 may reduce the duration of illness. Int. J. Infect. Dis. 103, 214–216 (2021).

Article 
CAS 
PubMed 

Google Scholar
 

Mansour, S. M. et al. Safety of inhaled Ivermectin as a repurposed direct drug for treatment of COVID-19: a preclinical tolerance study. Int. Immunopharmacol. 99, 108004 (2021).

Article 

Google Scholar
 

Dong, Z., Xing, S., Zhang, J. & Zhou, X. 14-Day repeated intraperitoneal toxicity test of Ivermectin microemulsion injection in Wistar rats. Front. Veterinary Sci. 7, 598313 (2020).

Article 

Google Scholar
 

Tawfeek, S. E., Domouky, A. M. & Abdel-Kareem, R. H. Protective effect of vitamin C against Ivermectin induced nephrotoxicity in different age groups of male Wistar rats: bio-histopathological study. Anat. Cell. Biology. 54, 501–517 (2021).

Article 

Google Scholar
 

Hosseini Omshi, F. S. et al. Effect of vitamin A and vitamin C on Attenuation of ivermectin-induced toxicity in male Wistar rats. Environ. Sci. Pollut. Res. 25, 29408–29417 (2018).

Article 
CAS 

Google Scholar
 

Syslová, E. et al. Ivermectin biotransformation and impact on transcriptome in Arabidopsis Thaliana. Chemosphere 234, 528–535 (2019).

Article 
ADS 
PubMed 

Google Scholar
 

Amin, Y. A., Mahmoudand, H. & Megahed, G. A. Relation between Oxidant/Antioxidant status and postpartum anestrous conditions. World J. Res. Rev 9, 01–04 (2017).

Amin, Y. A., Noseer, E. A., Fouad, S. S., Ali, R. A. & Mahmoud, H. Y. Changes of reproductive indices of the testis due to trypanosoma evansi infection in dromedary bulls (Camelus dromedarius): semen picture, hormonal profile, histopathology, oxidative parameters, and hematobiochemical profile. J. Adv. Veterinary Anim. Res. 7, 537 (2020).

Article 

Google Scholar
 

Amin, Y. A. et al. Abortion associated with postpartum opportunistic bacterial invasion reduces fertility and induces disturbances of reproductive hormones, hematological profile, and oxidant/antioxidant profiles in dairy cows. J. Adv. Veterinary Anim. Res. 10, 654 (2023).


Google Scholar
 

Toghan, R. et al. Protective effects of folic acid against reproductive, hematological, hepatic, and renal toxicity induced by Acetamiprid in male albino rats. Toxicology 469, 153115 (2022).

Article 
CAS 
PubMed 

Google Scholar
 

El-Sawy, S. A., Amin, Y. A., El-Naggar, S. A. & Abdelsadik, A. Artemisia annua L.(Sweet wormwood) leaf extract attenuates high-fat diet-induced testicular dysfunctions and improves spermatogenesis in obese rats. J. Ethnopharmacol. 313, 116528 (2023).

Article 
CAS 
PubMed 

Google Scholar
 

Amin, Y. A., Ali, R. A., Fouad, S. S. & Ibrahim, R. M. The deleterious effect of postpartum pyometra on the reproductive indices, the metabolic profile, and oxidant/antioxidant parameters of dairy cows. Veterinary World. 14, 329 (2021).

Article 
CAS 
PubMed 
PubMed Central 

Google Scholar
 

Nwani, C. D. et al. Short-Term effects of albendazole on the oxidative stress markers and hematological parameters in tissues of African catfish Clarias Gariepinus. J. Aquat. Anim. Health. 28, 222–228 (2016).

Article 
CAS 
PubMed 

Google Scholar
 

Deavall, D. G., Martin, E. A., Horner, J. M. & Roberts, R. Drug-induced oxidative stress and toxicity. Journal of toxicology 645460 (2012). (2012).

Asbaghi, O. et al. Effects of folic acid supplementation on oxidative stress markers: a systematic review and meta-analysis of randomized controlled trials. Antioxidants 10, 871 (2021).

Article 
CAS 
PubMed 
PubMed Central 

Google Scholar
 

Lu, M. & Liu, Y. Folic acid reduces methomyl insecticide damage to testicular cells by altering the DNA methylation environment. (2022).

Molaqanbari, M. R. et al. Effects of folic acid supplementation on liver enzymes, lipid profile, and insulin resistance in patients with non-alcoholic fatty liver disease: a randomized controlled trial. Adv. Biomed. Res. 12, 103 (2023).

Article 
CAS 
PubMed 
PubMed Central 

Google Scholar
 

Zhang, H. et al. Folic acid ameliorates alcohol-induced liver injury via gut–liver axis homeostasis. Front. Nutr. 9, 989311 (2022).

Article 
PubMed 
PubMed Central 

Google Scholar
 

Kuo, K. L., Chiang, C. W., Chen, Y. M. A., Yu, C. C. & Lee, T. S. Folic acid ameliorates renal injury in experimental obstructive nephropathy: role of Glycine n-methyltransferase. Int. J. Mol. Sci. 24, 6859 (2023).

Article 
CAS 
PubMed 
PubMed Central 

Google Scholar
 

Karabulut, D. et al. Effects of vitamin B12 on methotrexate hepatotoxicity: evaluation of receptor-interacting protein (RIP) kinase. Naunyn. Schmiedebergs Arch. Pharmacol. 393, 2473–2480 (2020).

Article 
CAS 
PubMed 

Google Scholar
 

Ozturk, E. et al. Evaluation by different mechanisms of the protective effects of vitamin B12 on methotrexate nephrotoxicity. J. Mol. Histol. 53, 133–143 (2022).

Article 
CAS 
PubMed 

Google Scholar
 

Trailovic, S. M. & Nedeljkovic, J. T. Central and peripheral neurotoxic effects of Ivermectin in rats. J. Vet. Med. Sci. 73, 591–599 (2011).

Article 
CAS 
PubMed 

Google Scholar
 

Hussein, H., Elnaggar, M. & Al-Zahrani, N. Antioxidant role of folic acid against reproductive toxicity of cyhalothrin in male mice. Global Adv. Res. J. Environ. Sci. Toxicol. 1, 066–071 (2012).


Google Scholar
 

Partearroyo, T., Úbeda, N., Montero, A., Achón, M. & Varela-Moreiras, G. Vitamin B12 and folic acid imbalance modifies NK cytotoxicity, lymphocytes B and lymphoprolipheration in aged rats. Nutrients 5, 4836–4848 (2013).

Article 
CAS 
PubMed 
PubMed Central 

Google Scholar
 

Rampil, I. J., Moller, D. H. & Bell, A. H. Isoflurane modulates genomic expression in rat amygdala. Anesth. Analgesia. 102, 1431–1438 (2006).

Article 
CAS 

Google Scholar
 

Perry, C. et al. A buffered alcohol-based fixative for histomorphologic and molecular applications. J. Histochem. Cytochemistry. 64, 425–440 (2016).

Article 
CAS 

Google Scholar
 

Ahmed, S. F., Bernaba, C. N. & Muhammad, E. Immunohistochemical expression of caspase-3 in colorectal carcinoma. SVU-International J. Med. Sci. 5, 240–251 (2022).


Google Scholar
 

Amin, Y. A. Effects of SARS-CoV-2 infection on pregnancy outcome: an overview. Asian Pac. J. Reprod. 12, 155–161 (2023).

Article 
CAS 

Google Scholar
 

Ibrahim, R. M. et al. Laboratory investigation of haematological and biochemical parameters throughout the periparturient phase in Fat-Tailed Ewes. SVU-International J. Veterinary Sci. 7, 39–55 (2024).


Google Scholar
 

Ali, R. A. et al. The deleterious effects of Sofosbuvir and ribavirin (antiviral drugs against hepatitis C virus) on different body systems in male albino rats regarding reproductive, hematological, biochemical, hepatic, and renal profiles and histopathological changes. Sci. Rep. 14, 5682 (2024).

Article 
ADS 
CAS 
PubMed 
PubMed Central 

Google Scholar
 

Moman, R. N., Gupta, N., Varacallo, M. & Physiology albumin. (2017).

Jiang, T., Zeng, Q. & He, J. Do alkaline phosphatases have great potential in the diagnosis, prognosis, and treatment of tumors? Translational Cancer Res. 12, 2932 (2023).

Article 
CAS 

Google Scholar
 

Zhang, Y. et al. Interaction of serum alkaline phosphatase and folic acid treatment on chronic kidney disease progression in treated hypertensive adults. Front. Pharmacol. 12, 753803 (2022).

Article 
PubMed 
PubMed Central 

Google Scholar
 

Banihani, S. A. Vitamin B12 and semen quality. Biomolecules 7, 42 (2017).

Article 
PubMed 
PubMed Central 

Google Scholar
 

Xue, Y., Daniels, L., Maisel, A. & Iqbal, N. Chapter Cardiac Biomarkers. Reference Module in Biomedical Sciences. Caplan, M. & Bradshow, R.(Eds.). Elsevier, DOI 10 (2014).

He, X. et al. Effect of folic acid supplementation on renal phenotype and epigenotype in early weanling intrauterine growth retarded rats. Kidney Blood Press. Res. 40, 395–402 (2015).

Article 
CAS 
PubMed 

Google Scholar
 

Sakr, S. et al. Beneficial effects of folic acid on the kidneys and testes of adult albino rats after exposure to methomyl. Toxicol. Res. 7, 480–491 (2018).

Article 
CAS 

Google Scholar
 

Sun, X. et al. Folic acid and zinc improve hyperuricemia by altering the gut microbiota of rats with high-purine diet-induced hyperuricemia. Front. Microbiol. 13, 907952 (2022).

Article 
PubMed 
PubMed Central 

Google Scholar
 

Gyurászová, M., Gurecká, R., Bábíčková, J. & Tóthová, Ľ. Oxidative stress in the pathophysiology of kidney disease: implications for noninvasive monitoring and identification of biomarkers. Oxidative Med. Cell. Longevity. 2020, 5478708 (2020).

Pizzino, G. et al. Oxidative stress: harms and benefits for human health. Oxidative Med. Cell. Longevity. 2017, 8416763 (2017).

Gupta, S., Finelli, R., Agarwal, A. & Henkel, R. Total antioxidant capacity—relevance, methods and clinical implications. Andrologia 53, e13624 (2021).

Article 
CAS 
PubMed 

Google Scholar
 

Ghafarifarsani, H. et al. Comparative effect of chemical and green zinc nanoparticles on the growth, hematology, serum biochemical, antioxidant parameters, and immunity in serum and mucus of goldfish, Carassius auratus (Linnaeus, 1758). Biol. Trace Elem. Res. 202, 1264–1278 (2024).

Article 
CAS 
PubMed 

Google Scholar
 

Esfandyari, F., Raeeszadeh, M. & Amiri, A. A. Comparative evaluation of levamisole and broccoli in mitigating testicular oxidative stress and apoptotic alterations caused by cadmium and lead exposure in rats. Biol. Trace Elem. Res. 203, 1518–1527 (2025).

Article 
CAS 
PubMed 

Google Scholar
 

Awadalla, E. A. et al. Co-treatment of β-carotene with Acetamiprid provides protection against Acetamiprid induced hepatic and renal toxicity via modulation of the antioxidant system. BMC Pharmacol. Toxicol. 26, 122 (2025).

Article 
CAS 
PubMed 
PubMed Central 

Google Scholar
 

Abdel-Moaty, Z. N. et al. Impact of acrylamide on postnatal developmental changes in the cerebellum of albino rat offspring and the potential ameliorative effects of nanohydroxyapatite and vitamin B12. SVU-Int. J. Med. Sci. 8, 415–439 (2025).


Google Scholar
 

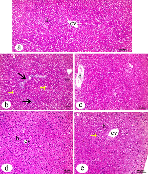
Mosa, A. M., Ali, R. A., Mobarak, S. A., Mar’ie, Z. A. & Amin, Y. A. Impact of chronic Ivermectin toxicity on some blood parameters and liver and kidney histoarchitectonics of adult albino rats: evaluation of the role of folic acid and vitamin B12 as new treatment modalities. Cell. Tissue Biol. 19, 470–480 (2025).

Article 
CAS 

Google Scholar
 

Oscanoa, T. J., Amado, J., Romero-Ortuno, R. & Carvajal, A. Hepatic disorders associated with the use of Ivermectin for SARS-CoV-2 infection in adults: a pharmacovigilance study in vigibase. Gastroenterol. Hepatol. Bed Bench. 15, 426 (2022).

PubMed 
PubMed Central 

Google Scholar
 

Chahrazed, M. et al. Protective effects of vitamin C on Ivermectin induced toxicity on kidney functions and brain tissue in rabbits (Oryctolagus cuniculus). Egypt. Acad. J. Biol. Sci. D Histol. Histochem. 13, 63–77 (2021).


Google Scholar
 

Abd-Elhamid, T. H. et al. Treatment of corticosteroid-induced myopathy through filgrastim induced endogenous stem cells mobilization in male albino rats. Cells Tissues Organs. 214 (5), 407–422 (2025).

Allam, M. et al. Mesenchymal stem cells reduce the genotoxic effect of lead acetate in the testis of male rats and induce testicular cellular proliferation indicated by 16S rRNA sequence, increase the proliferation marker Ki-67 and a reduction in the apoptosis marker caspase-3. Biol. Res. 58, 29 (2025).

Article 
CAS 
PubMed 
PubMed Central 

Google Scholar
 

Tung, C. L. et al. Ivermectin induces cell cycle arrest and caspase-dependent apoptosis in human urothelial carcinoma cells. Int. J. Med. Sci. 19, 1567 (2022).

Article 
CAS 
PubMed 
PubMed Central 

Google Scholar
 

Zhang, P. et al. Ivermectin induces cell cycle arrest and apoptosis of HeLa cells via mitochondrial pathway. Cell Prolif. 52, e12543 (2019).

Article 
PubMed 

Google Scholar
 

Xu, N. et al. Ivermectin induces apoptosis of esophageal squamous cell carcinoma via mitochondrial pathway. BMC Cancer. 21, 1–11 (2021).

Article 

Google Scholar
 

Vince, J. E. et al. The mitochondrial apoptotic effectors BAX/BAK activate caspase-3 and-7 to trigger NLRP3 inflammasome and caspase-8 driven IL-1β activation. Cell reports 25, 2339–2353. e2334 (2018).

Alharbi, F., Almanifi, E., Ashrafuzzaman, M. Targeting BCL-2 family proteins using BH3 mimetic drugs for cancer therapy: a systematic review of randomized clinical trials. Med. Drug Discovery 24, 100199 (2024).

Dong, X. et al. Bavachinin protects the liver in NAFLD by promoting regeneration via targeting PCNA. J. Adv. Res. 55, 131–144 (2024).

Article 
CAS 
PubMed 

Google Scholar
 

El-Shobokshy, S. A. et al. Implication of apoptosis and oxidative stress in mitigation of Ivermectin long-term hazards by zinc nanoparticles in male rabbits. Environ. Sci. Pollut. Res. 30, 26982–26997 (2023).

Article 
CAS 

Google Scholar