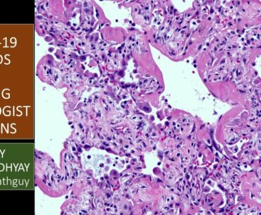
This brief video by an expert in lung pathology explains what pathologists see under the microscope in lung tissue from patients who are severely ill from viral infections such as COVID-19, which is currently causing a pandemic. See links below…
This brief video by an expert in lung pathology explains what pathologists see under the microscope in lung tissue from patients who are severely ill from viral infections such as COVID-19, which is currently causing a pandemic. See links below…