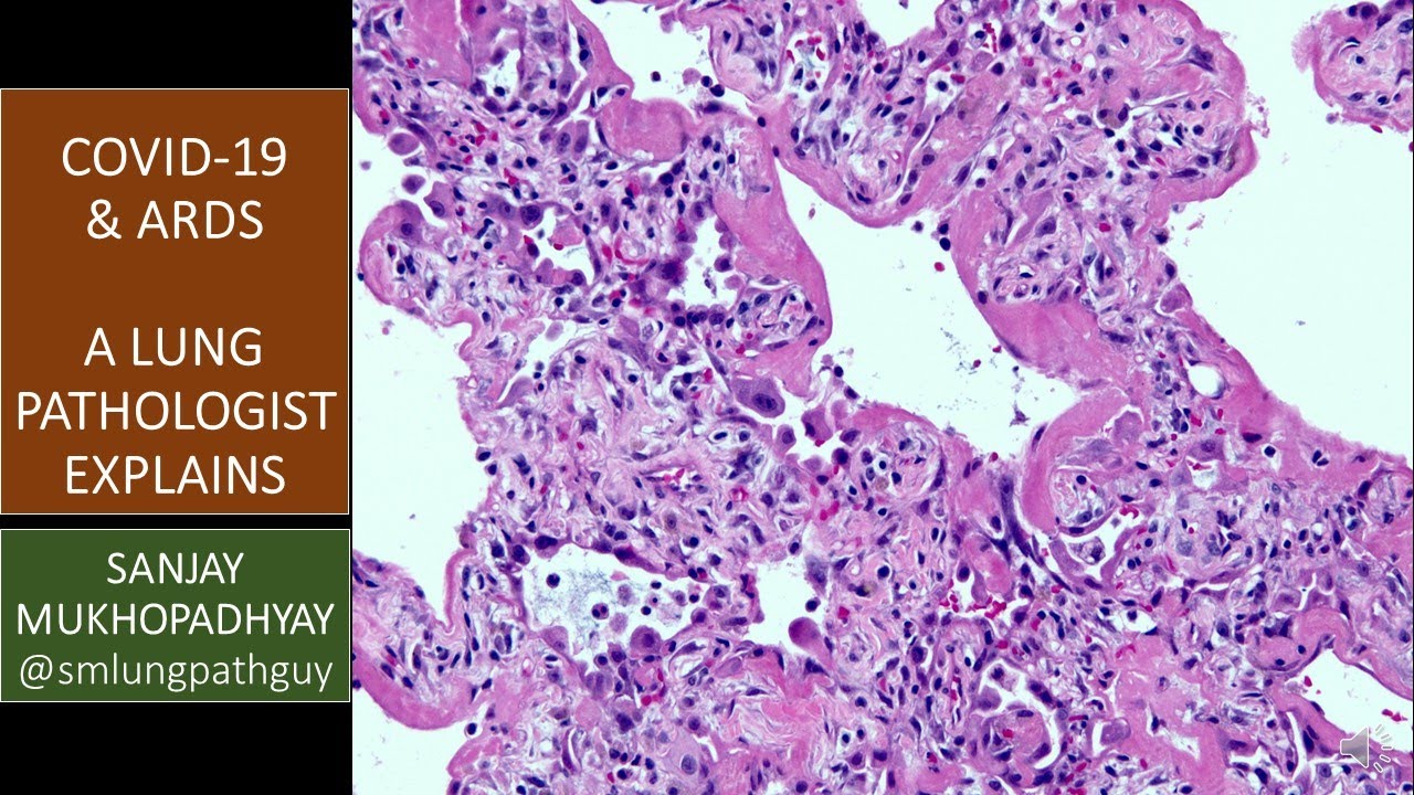
This brief video by an expert in lung pathology explains what pathologists see under the microscope in lung tissue from patients who are severely ill from viral infections such as COVID-19, which is currently causing a pandemic. See links below to 2 recent videos that have left an impression on the creator of this video as far as COVID-19 goes.

The first is by Dr. Jerad Gardner. He explains in simple terms why we should take this disease seriously:

The second is an interview by the editor in chief of JAMA with one of the intensive care docs on the frontlines of the fight against this disease in Italy:

I am a medical doctor (a pathologist). My job involves diagnosing diseases such as lung cancer, mesothelioma, infections and interstitial lung disease by examining tissue samples under a microscope. I also teach medical students, pathology residents, and pulmonary and critical care fellows. I am the author of a textbook of non-neoplastic lung pathology published by Cambridge University Press. Check it out here:

I also post freely accessible educational material related to pathology and lung diseases on Twitter (@smlungpathguy), Instagram (@smlungpathguy) and Facebook (my professional Facebook page is open to all). If you found this video to be useful, please like, comment, subscribe and share with your friends. It should be obvious but I’ll say it anyway: this video is for educational use only; this is NOT medical advice.