• IMMUNITY
  • NUTRITION
  • WELLNESS
  • FITNESS
  • BEAUTY
  • SUPPLEMENTS
Search for:
Vitamin Rush
Tag

pulmonary pathology

Browsing
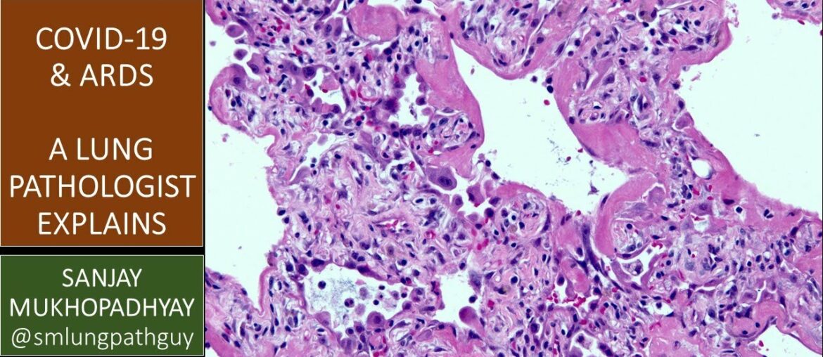
COVID-19 can kill: a lung pathologist explains what ARDS means and why it's important
COVID-19 COVID-19 can kill: a lung pathologist explains what ARDS means and why it's important March 17, 2020

    © vitaminrush.com

    Top